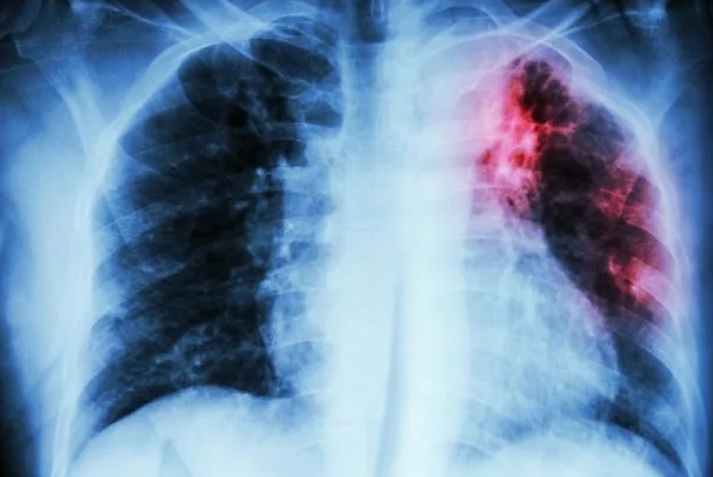
Седем нови случая на туберкулоза в Силистренско през 2025 г.
По време на "Седмицата на отворените врати" в периода 23 до 27 юни 2025 г. бяха обхванати 118 лица, изследвани с анкета, физикален преглед, рентгеноскопия на гръден кош, туберкулинов кожен тест – Mаntouх. Резултатите показват, че е открит 1 случай на Туберкулоза на белите дробове и 1 случай на Латентна туберкулозна инфекция. Стартирано е лечение в съответствие с утвърдените медицински стандарти, методични указания и оперативни процедури по данни на д-р Мирена Сапунджиева, областният координатор на Националната програма за превенция и контрол на туберкулозата.
Инициативата се реализира от 2009 г. съвместно с Регионалните здравни инспекции, лечебните заведения за диагностика и лечение на туберкулоза и неправителствени организации. През годините кампанията доказа своята ефективност за повишаване на обществената информираност относно заболяването чрез предоставяне на безплатен достъп до медицински услуги за по-добра разкриваемост на случаите на туберкулоза и латентна туберкулозна инфекция, както и за ефективната им превенция.
У нас диагностиката, лечението и профилактиката на туберкулозата са безплатни, независимо от здравноосигурителния статус на гражданите. Министерството на здравеопазването ежегодно осигурява финансов ресурс за противотуберкулозни лекарства от първи и втори ред, лекарства за химиопрофилактика, ваксини, диагностикуми и консумативи за лабораториите, както и финансиране на болниците за лечение на туберкулоза.
В резултат на изпълнението на Националната програма за превенция и контрол на туберкулоза в България и по данни на МЗ e налице тенденция за трайно намаляване на заболяемостта от туберкулоза - от 23.8 на 100 хил. население през 2014 г. до 13.7 на 100 хил. през 2024 г. Заболеваемостта от туберкулоза в страната по данни на МЗ за 2024 г. представлява 13.7 на 100 000 население, като регистрираните лица с туберкулоза са 913.
За област Силистра заболеваемостта от туберкулоза е с тенденция за трайно намаляване - от 20,68 на 100 хил. население през 2014 г. до 7,4 на 100 хил. през 2024 г.
Регистрираните новозаболели за 2025г. от началото на годината до месец юни са общо 7 случая.
Туберкулозата е лечима и предотвратима, стига да бъде открита навреме и да бъде проведено качествено лечение.
Лечението на туберкулозата е продължително и се извършва задължително от специалисти.
Ако имате и най-малките съмнения, че може да имате туберкулоза, изследвайте се. Това е единствения начин да контролирате Вашето здраве и живот!
Инициативата се реализира от 2009 г. съвместно с Регионалните здравни инспекции, лечебните заведения за диагностика и лечение на туберкулоза и неправителствени организации. През годините кампанията доказа своята ефективност за повишаване на обществената информираност относно заболяването чрез предоставяне на безплатен достъп до медицински услуги за по-добра разкриваемост на случаите на туберкулоза и латентна туберкулозна инфекция, както и за ефективната им превенция.
У нас диагностиката, лечението и профилактиката на туберкулозата са безплатни, независимо от здравноосигурителния статус на гражданите. Министерството на здравеопазването ежегодно осигурява финансов ресурс за противотуберкулозни лекарства от първи и втори ред, лекарства за химиопрофилактика, ваксини, диагностикуми и консумативи за лабораториите, както и финансиране на болниците за лечение на туберкулоза.
В резултат на изпълнението на Националната програма за превенция и контрол на туберкулоза в България и по данни на МЗ e налице тенденция за трайно намаляване на заболяемостта от туберкулоза - от 23.8 на 100 хил. население през 2014 г. до 13.7 на 100 хил. през 2024 г. Заболеваемостта от туберкулоза в страната по данни на МЗ за 2024 г. представлява 13.7 на 100 000 население, като регистрираните лица с туберкулоза са 913.
За област Силистра заболеваемостта от туберкулоза е с тенденция за трайно намаляване - от 20,68 на 100 хил. население през 2014 г. до 7,4 на 100 хил. през 2024 г.
Регистрираните новозаболели за 2025г. от началото на годината до месец юни са общо 7 случая.
Туберкулозата е лечима и предотвратима, стига да бъде открита навреме и да бъде проведено качествено лечение.
Лечението на туберкулозата е продължително и се извършва задължително от специалисти.
Ако имате и най-малките съмнения, че може да имате туберкулоза, изследвайте се. Това е единствения начин да контролирате Вашето здраве и живот!